当前位置:首页 - 新闻中心 - 媒体视角

【文汇报】巨大肿瘤如电话座机占满10岁男童胸腔,危急关头上海市儿童医院四术合一巧拆弹

发布时间:2020-06-18
浏览量:
加载中...
字号: 字号 字号增大

巨大肿瘤如电话座机占满10岁男童胸腔

危急关头上海市儿童医院四术合一巧拆弹

2020-06-17 17:07:31 作者:李晨琰

来源:文汇报


 

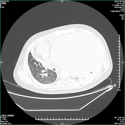
10岁的小文气喘不已,罪魁祸首竟是胸腔内的“包袱”——一个与座机电话大小相仿的肿瘤,几乎占满了孩子的整个左侧胸腔。整整五个小时,小文经历了肿瘤切除术、肺叶修补术、胸膜剥脱术、膈肌折叠术等“四术合一”,最终体内“炸弹”被成功拆除,这个压在患儿一家心上的“包袱”终于卸下。

 

三个月前,小文突然开始呼吸急促,甚至连上楼梯这类小幅度的活动都会让他气喘吁吁。自以为没什么大碍的家长因一时疏忽导致病情拖延了几个月。直到半个月前,小文症状始终没有缓解,且有愈发严重的迹象,家长这才带着他到当地医院做了检查。

 

通过穿刺活检,医生发现,小文的左侧胸膛竟“埋伏”着一个巨大的恶性肿瘤,尺寸约20cm×15cm×5cm,几乎占满了左胸,其肺部与心脏均受到不同程度挤压。可惜,经放化疗,不仅疗效不佳,小文还在诊治过程中出现反复发热。心急如焚的家人带着小文来到上海市儿童医院心胸外科就诊,当时气喘气急的他已经无法平卧。


“小文胸腔内的肿瘤与心脏、肺、膈肌等组织粘连,其中与肺粘连程度最深。”上海市儿童医院心胸外科主任张儒舫直言,手术稍有不慎便会触及到肺及其周围的血管和神经,从而引起各类严重的术后并发症。这是一场硬仗,但凭借多次切除胸腔巨大肿瘤手术的经验,张儒舫决定“啃”下这根硬骨头,很快便为小文敲定了手术时间。

 

手术从下午三点一直持续至晚上八点,整整耗时五个小时。令张儒舫欣慰的是,肿瘤并未侵及其他脏器功能,就连粘连最为严重的左肺,功能尚佳。在经过肿瘤切除术、肺叶修补术、胸膜剥脱术、膈肌折叠术等多项手术后,小文胸内的“炸弹”终于被拆除。

 

现如今卸下胸中“包袱”的小文已顺利出院,进入康复阶段。

 

张儒舫介绍,儿童肿瘤与成人不同。成人一般都会定期体检,因此可在早期发现肿瘤并及早干预,从而达到较好的愈后效果。但儿童一般不会定期进行常规体检,加之许多家长担心放射线对孩子产生伤害,不让他们拍片,直至因反复发热或其他病症入院,才发现病症存在,此时肿瘤通常已经较大。他建议,家长要定期带孩子进行体检,如果医生建议拍胸片检查,希望家长配合,早发现早治疗。

 

作者:李晨琰

通讯员:刘炫言 蔡怀卿



友情链接:
泸定路院区

上海市普陀区泸定路355号

200062

0086-21-52976067

0086-21-52976067

www.shchildren.com.cn

北京西路院区

上海市静安区北京西路1400弄24号

200040

0086-21-62790494

0086-21-52976067

www.shchildren.com.cn

Copyright © 2017 All Rights Reserved 版权所有 上海市儿童医院版权所有. 沪ICP备17048973号-1