当前位置:首页 - 新闻中心 - 医院新闻

巨大肿瘤占满10岁男童左侧胸腔 儿童医院“四术合一”切除“心头大患”

发布时间:2020-06-18
浏览量:
加载中...
字号: 字号 字号增大

巨大肿瘤占满10岁男童左侧胸腔

儿童医院“四术合一”切除“心头大患”

 

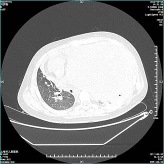
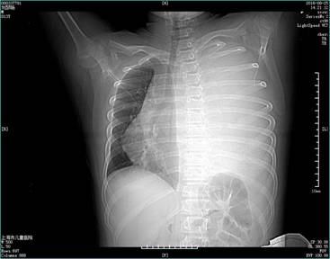
近日,一名十岁男童检查出胸腔内有20cm×15cm×5cm巨大肿瘤,这个和一部电话座机差不多大小的肿瘤几乎占满了孩子整个左侧胸腔,并与周围的身体组织发生粘连,辗转多家医院后收治于上海市儿童医院进行手术。手术历时5小时,经过肿瘤切除术、肺叶修补术、胸膜剥脱术、膈肌折叠术等多个手术,成功切除了这个压在患儿一家心上的“包袱”。

 

稍做运动就气喘,竟是肿瘤在作怪

几天前,来自江苏的小文一家来到上海市儿童医院心外科就诊,10岁的他看起来和同龄孩子一样自信乐观,但气喘气急已经不能平卧了。    

三个月前小文突然开始出现没缘由的呼吸急促,尤其是在上楼梯或者运动的时候,仅仅是小幅度的活动也会让他气喘吁吁,但家长一直没有当回事,直到半个月以前,症状一直没有缓解,家人便带他到当地医院做了各项检查,通过穿刺活检发现,小文的左侧胸腔里有一个巨大的恶性肿瘤,几乎占满左侧胸腔,导致肺部和心脏受到了挤压,这也就直接引发了小文呼吸急促。他的肿瘤对放疗、化疗均不敏感,必须手术切除,但由于当地医疗条件有限,并且在诊治的过程中,小文开始出现反复发热,心急如焚的家人果断决定带着小文找上海市儿童医院的专家诊治。

左侧胸腔肿瘤将心脏都挤压“挪位”

 

手术5小时,卸下了胸中的“包袱”

上海市儿童医院心胸外科主任张儒舫收治了小文,凭借多次切除胸腔巨大肿瘤手术以及丰富的心胸外科手术经验,快速为小文进行了敲定了手术时间。报告显示,小文胸腔内肿瘤尺寸约20cm×15cm×5cm,约是一个家用座机电话的大小,在胸腔内与心脏、肺、膈肌等组织粘连,其中与肺粘连的程度最深,从而导致此次手术难度巨大,因为稍有不慎就会触及到肺及其周围的血管和神经,从而引起各类严重的术后并发症。此外,由于肿瘤与肺融合粘连严重,与胸腺、膈肌、心包融合粘连,因此这不只是一个简单的肿瘤切除手术,还要完成肺叶修补术、胸膜剥脱术、膈肌折叠术等多项手术。手术于当天下午三点半正式开始,一直持续到晚上8点才结束,历时5个小时,对于医生的专业能力和体能都有一定的考验。值得庆幸的是肿瘤的存在并没有影响到小文其他脏器的功能,粘连严重的左肺功能良好,现如今卸下胸中“包袱”的小文已经出院,进入了康复阶段。

 

定期体检,将肿瘤扼杀在萌芽状态

针对此类胸腔巨大肿瘤,张儒舫主任表示,儿童肿瘤与成人不同,成人由于会定期进行体检,因而往往可以在早期发现肿瘤并及早干预,从而达到较好的愈后效果。但儿童一般不会定期进行常规体检,并且很多家长担心放射线对孩子会产生伤害,不让他们拍胸片,直到因为反复发热或其他病症入院,最后才发现肿瘤的存在,此时肿瘤都通常已经较大。因此张主任建议家长要定期带孩子进行体检,如果医生建议拍胸片检查,希望家长配合,早发现早治疗。

 

宣传文明办/刘炫言、心胸外科/蔡怀卿


友情链接:
泸定路院区

上海市普陀区泸定路355号

200062

0086-21-52976067

0086-21-52976067

www.shchildren.com.cn

北京西路院区

上海市静安区北京西路1400弄24号

200040

0086-21-62790494

0086-21-52976067

www.shchildren.com.cn

Copyright © 2017 All Rights Reserved 版权所有 上海市儿童医院版权所有. 沪ICP备17048973号-1